Cart 0

Cosmetic Treatments:

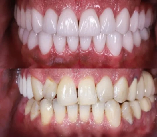
Veneers in Tadworth, Surrey

Bespoke veneers in Tadworth, Surrey – a brighter, straighter smile that still looks like you.

Veneers_Header_Biege.jpg

At The Walton Practice, we provide bespoke veneers in Tadworth, Surrey to transform the shape, colour and overall appearance of your smile. From subtle refinements to full smile makeovers, we design veneers that suit your face, your lifestyle and your idea of a confident, natural-looking smile.

Composite and porcelain veneers in Surrey

Veneers are thin, custom-made coverings that sit on the front surface of your teeth to change their appearance. They can quickly improve teeth that are chipped, discoloured, worn, slightly crooked or uneven, and are a popular choice for patients seeking a long-lasting cosmetic solution.

At our Tadworth practice, we offer both composite veneers and porcelain veneers in Surrey. Each option has its own advantages, and we will help you choose the right approach based on your goals, budget and how much you would like to change about your smile.

What can veneers improve?

Veneers can be a good option if you would like to:

  • Mask stubborn stains or discolouration that whitening cannot remove.

  • Hide chips, cracks or worn edges.

  • Improve the appearance of slightly crooked or uneven teeth.

  • Close small gaps between teeth.

  • Create a more uniform, balanced smile.

They can be used on a single tooth or as part of a wider makeover involving several teeth – for example, the upper front 4–10 teeth that show most when you smile.

Composite veneers vs porcelain veneers in Surrey

We offer both composite veneers and porcelain veneers in Tadworth, Surrey.

Composite veneers

Composite veneers are created using tooth-coloured resin (similar to composite bonding) that is applied directly to the tooth surface and carefully shaped by your dentist. They typically require little to no removal of tooth enamel.

Benefits of composite veneers:

  • Usually completed in one or two appointments.

  • Often more budget-friendly than porcelain.

  • Minimal or no enamel removal in many cases.

  • Easier to repair if they chip or wear.

Composite veneers can be particularly suitable if you’d like a conservative option or are already considering composite bonding to refine individual teeth.

Porcelain veneers

Porcelain veneers are thin ceramic shells that are custom-made in a dental laboratory and then bonded to your teeth. They usually require a small amount of enamel to be removed to create space for the veneer.

Benefits of porcelain veneers:

  • Highly lifelike appearance with excellent translucency and shine.

  • Very durable and stain-resistant.

  • Long-lasting results when well cared for.

Porcelain veneers may be recommended when you want a more comprehensive, long-term change in colour, shape and alignment, or as part of a broader smile makeover such as a 6 month smile makeover.

Are veneers right for me?

Veneers can be an excellent option if you’re looking for a noticeable, yet natural-looking improvement to your front teeth. Ideal candidates typically have healthy gums, good oral hygiene and realistic expectations about what veneers can achieve.

In some cases, we may recommend other treatments first or instead of veneers. For example, Invisalign in Tadworth can gently straighten teeth before veneers, so less enamel needs to be altered. Likewise, whitening and composite bonding may be enough to achieve the smile you want with less invasive treatment. We will always talk you through all suitable options.

What to expect from veneers treatment

Your smile consultation

Every veneers journey starts with a detailed cosmetic consultation. At this appointment, we will:

  • Discuss what you like and dislike about your smile.

  • Explore whether composite veneers, porcelain veneers or other cosmetic options may be best.

  • Examine your teeth, bite and gum health.

  • Take photos and, where needed, X-rays or digital scans.

  • Talk through examples of possible outcomes and how many teeth may need treating.

We will also explain how veneers fit into a wider cosmetic plan if you are considering treatments such as Invisalign, a 6 month smile makeover or crowns.

 

A long term solution that will improve the appearance of your teeth while giVing a little extra protection too

 
 
A ‘false nail’ for your tooth

We like to think of a Veneer as the equivalent to a ‘false nail’ for your tooth. You can hide discolourations, fill in gaps between your teeth and give them the overall appearance of lovely straight symmetrical teeth by simply adding a layer onto the front of them. 

 

Veneers cost in Surrey

Veneers cost in Surrey depends on:

  • The type of veneer (composite vs porcelain).

  • How many teeth are being treated.

  • The complexity of your case and any additional treatments.

Composite veneers are usually more affordable and can be placed more quickly, while porcelain veneers involve laboratory work and are typically a higher initial investment but offer excellent durability and aesthetics. At your consultation, we’ll provide a personalised treatment plan with clear fees, so you know exactly what to expect before starting.

 

Veneer Cases

Happy patients’ before and after photos

 
 
BeforeFull.jpg

Before

AfterFull.jpg

After

 

 
Before.jpg

Before

After.jpg

After

 

 
Before+Full.jpg

Before

After%2BFull.jpg

After

 

FAQs on Veneers in Surrey

  • Composite veneers are built directly onto your teeth using tooth-coloured resin, usually in one or two visits, with little or no enamel removal. Porcelain veneers are made from ceramic in a lab and then bonded to your teeth, often requiring more preparation but offering excellent durability and stain resistance.

  • With good care, composite veneers can last several years, though they may need occasional repairs or polishing. Porcelain veneers typically last longer – often 10 years or more – depending on your bite, habits and oral hygiene. Regular check-ups help us monitor and maintain them.

  • Any treatment that involves altering tooth enamel is considered irreversible, so we always take a conservative approach. Composite veneers often require minimal reduction, while porcelain veneers usually need more preparation. We’ll explain exactly what’s involved in your case and discuss all alternatives so you can make an informed choice.

  • Veneers can improve the appearance of slightly crooked or uneven teeth, but they are not a replacement for orthodontic treatment in more complex cases. For significant crowding or misalignment, we may recommend aligning your teeth first with Invisalign in Tadworth, then using veneers or composite bonding for final refinements.

  • Yes – veneers often form part of a wider cosmetic plan. You might choose to straighten your teeth with Invisalign, add composite bonding to refine edges, or include them in a 6 month smile makeover. For some teeth, a crown may be more appropriate than a veneer. We’ll design a plan that brings these elements together in a way that looks natural and suits your goals.

Ready to explore veneers in Tadworth, Surrey?

If you’re considering composite veneers or porcelain veneers in Surrey and want a calm, honest and personalised approach, we’d love to help. Fill in the below to arrange your veneers consultation and start planning a smile that makes you feel truly confident.